|
| 26.02.2020 |

Календарь
памятных дат военной истории Отечества
|
№ п/п |
Дата |
Событие |
|
1 |
7 января |
Памятная дата военной истории России. В этот день в 1878 году началось сражение под Шейново, в которой русские войска одержали стратегическую победу над турецкой армией.
Подробнее…
Видеоролик:
YouTube Яндекс |
|
2 |
12 января |
Памятная дата военной истории Отечества. В этот день в 1945 году советские войска начали Висло-Одерскую операцию, в ходе которой были освобождены значительные территории Польши, а советские войска вышли на дальние подступы к Берлину.
Подробнее…
Видеоролик:
YouTube Яндекс |
|
3 |
17 января |
Памятная дата военной истории Отечества. В этот день в 1945 году советские войска освободили Варшаву от немецко-фашистских войск.
Подробнее…
Видеоролик:
YouTube Яндекс |
|
4 |
27 января |
День воинской славы России. В этот день в 1944 году советские войска освободили от блокады немецко-фашистских войск город Ленинград.
Подробнее…
Видеоролик:
YouTube Яндекс |
|
5 |
2 февраля |
День воинской славы России. В этот день в 1943 году советские войска разгромили немецко-фашистские войска в Сталинградской битве.
Подробнее…
Видеоролик:
YouTube Яндекс |
|
6 |
9 февраля |
Памятная дата военной истории России. В этот день в 1904 году российский крейсер «Варяг» и канонерская лодка «Кореец» геройски сражались с японской эскадрой в бухте Чемульпо.
Подробнее…
Видеоролик:
YouTube Яндекс |
|
7 |
13 февраля |
Памятная дата военной истории России. В этот день в 1945 году советские войска окончательно освободили столицу Венгрии Будапешт.
Подробнее…
Видеоролик:
YouTube Яндекс |
|
8 |
15 февраля |
Памятная дата России. День памяти о россиянах, исполнявших служебный долг за пределами Отечества. В этот день в 1989 году советские войска были выведены из Афганистана.
Подробнее…
Видеоролик:
YouTube Яндекс |
|
9 |
16 февраля |
Памятная дата военной истории России. В этот день в 1916 году русские войска под командованием Николая Николаевича Юденича взяли турецкую крепость Эрзерум.
Подробнее…
Видеоролик:
YouTube Яндекс |
|
10 |
23 февраля |
День воинской славы России. День защитника Отечества. В 1918 году была создана Рабоче-Крестьянская Красная армия.
Подробнее…
Видеоролик:
YouTube Яндекс |
|
11 |
3 марта |
Памятная дата военной истории России. В этот день в 1799 году русская эскадра под командованием Фёдора Фёдоровича Ушакова взяла штурмом крепость Корфу.
Подробнее…
Видеоролик:
YouTube Яндекс |
|
12 |
22 марта |
Памятная дата военной истории России. В этот день в 1915 году русские войска после многомесячной осады взяли крупнейшую австрийскую крепость Перемышль.
Подробнее…
Видеоролик:
YouTube Яндекс |
|
13 |
27 марта |
Памятная дата военной истории России. В этот день в 1111 году русские дружины разбили половецкое войско.
Подробнее…
Видеоролик:
YouTube Яндекс |
|
14 |
31 марта |
Памятная дата военной истории России. В этот день в 1814 году русские войска и их союзники вступили в Париж. Европа была освобождена от владычества Наполеона.
Подробнее…
Видеоролик:
YouTube Яндекс |
|
15 |
4 апреля |
Памятная дата военной истории России. В этот день в 1945 году советские войска освободили Братиславу.
Подробнее…
Видеоролик:
YouTube Яндекс |
|
16 |
9 апреля |
Памятная дата военной истории России. В этот день в 1945 году советские войска взяли германскую мощную крепость Кенигсберг.
Подробнее…
Видеоролик:
YouTube Яндекс |
|
17 |
10 апреля |
День освобождения Одессы от Румынско-немецких войск.
Подробнее…
Видеоролик:
YouTube Яндекс |
|
18 |
13 апреля |
День освобождения столицы Австрии Вены советскими войсками 1945г.
Подробнее…
Видеоролик:
YouTube Яндекс |
|
19 |
16 апреля |
День начала Берлинской стратегической наступательной операции 1945г.
Подробнее…
Видеоролик:
YouTube Яндекс |
|
20 |
18 апреля |
День воинской славы России. В 1242 году русские воины князя Александра Невского одержали победу над немецкими рыцарями на Чудском озере.
Подробнее…
Видеоролик:
YouTube Яндекс |
|
21 |
25 апреля |
В этот день в 1945 году на Эльбе произошла встреча советских и американских войск.
Подробнее…
Видеоролик:
YouTube Яндекс |
|
22 |
2 мая |
В этот день в 1945 году под победными ударами войск маршалов Жукова и Конева пала столица фашистского «рейха» - Берлин.
Подробнее…
Видеоролик:
YouTube Яндекс |
|
23 |
6 мая |
В этот день в 1945 году советские войска начали Пражскую операцию, в ходе которой была освобождена Прага и взята в плен группа армий «Центр».
Подробнее…
Видеоролик:
YouTube Яндекс |
|
24 |
9 мая |
День воинской славы России. День Победы советского народа в Великой Отечественной войне. В этот день в 1945 году была подписана капитуляция фашистской Германии.
Подробнее…
Видеоролик:
YouTube Яндекс |
|
25 |
12 мая |
День полного освобождения Крыма. Окончание Крымской наступательной операции. 1944г.
Подробнее…
Видеоролик:
YouTube Яндекс |
|
26 |
28 мая |
День пограничника. Декретом Совнаркома учреждена пограничная охрана РСФСР 1918г.
Подробнее…
Видеоролик:
YouTube Яндекс |
|
27 |
4 июня |
Памятная дата военной истории России. В этот день в 1916 году в ходе Первой мировой войны началось наступление русских войск под командованием Алексея Алексеевича Брусилова.
Подробнее…
Видеоролик:
YouTube Яндекс |
|
28 |
18 июня |
Памятная дата военной истории России. В этот день в 1855 году русские войска в ходе обороны Севастополя отразили штурм англо-французско-турецких войск на Малахов курган.
Подробнее…
Видеоролик:
YouTube Яндекс |
|
29 |
22 июня |
Памятная дата России. День памяти о погибших в Великой Отечественной войне. В этот день в 1941 году фашистская Германия напала на СССР.
Подробнее…
Видеоролик:
YouTube Яндекс |
|
30 |
29 июня |
Памятная дата России. День памяти о партизанах и подпольщиках, сражавшихся с фашистами в годы Великой Отечественной войны.
Подробнее…
Видеоролик:
YouTube Яндекс |
|
31 |
3 июля |
Освобождение Минска, 1944г.
Подробнее…
Видеоролик:
YouTube Яндекс |
|
32 |
7 июля |
День воинской славы России. Победа в Чесменском сражении, 1770г.
Подробнее…
Видеоролик:
YouTube Яндекс |
|
33 |
10 июля |
День воинской славы России. В 1709 году русская армия под командованием Петра Первого одержала победу над шведскими войсками в Полтавском сражении.
Подробнее…
Видеоролик:
YouTube Яндекс |
|
34 |
12 июля |
В этот день в 1943 году под Прохоровкой произошло крупнейшее во Второй мировой войне танковое сражение между советской и германской армиями.
Подробнее…
Видеоролик:
YouTube Яндекс |
|
35 |
13 июля |
Освобождение Вильнюса от немецко-фашистских захватчиков, 1944г.
Подробнее…
Видеоролик:
YouTube Яндекс |
|
36 |
15 июля |
В этот день в 1410 году русские войска и их союзники одержали победу над немецкими рыцарями в Грюнвальдской битве.
Подробнее…
Видеоролик:
YouTube Яндекс |
|
37 |
18 июля |
В этот день в 1770 год русская армия под командованием Петра Александровича Румянцева одержала победу над турецкой армией при Ларге.
Подробнее…
Видеоролик:
YouTube Яндекс |
|
38 |
23 июля |
В этот день в 1240 году русские воины под командованием князя Александра Ярославича одержали победу над шведами в Невской битве.
Подробнее…
Видеоролик:
YouTube Яндекс |
|
39 |
1 августа |
День памяти о погибших в Первой мировой войне. В этот день в 1914 году Германия объявила войну России.
Подробнее…
Видеоролик:
YouTube Яндекс |
|
40 |
2 августа |
В этот день в 1572 году русские войска под предводительством князей Михаила Воротынского и Дмитрия Хворостинина разбили татарское войско (битва при Молодях).
Подробнее…
Видеоролик:
YouTube Яндекс |
|
41 |
6 августа |
В этот день в 1915 году защитники крепости Осовец, против которых немцы применили отравляющие газы, смогли подняться в контратаку. Враг был настолько изумлен стойкостью и мужеством русских солдат, что оставил поле боя. Этот героический эпизод останется в истории как «атака мертвецов».
Подробнее…
Видеоролик:
YouTube Яндекс |
|
42 |
9 августа |
День воинской славы России. В 1714 году русский флот под командованием Петра Первого одержал первую в российской истории морскую победу над шведами у мыса Гангут.
Подробнее…
Видеоролик:
YouTube Яндекс |
|
43 |
12 августа |
В 1759 году русские войска и их союзники разгромили прусские войска в сражении при Кунерсдорфе.
Подробнее…
Видеоролик:
YouTube Яндекс |
|
44 |
15 августа |
В этот день в 1799 году русские войска под командованием Александра Васильевича Суворова разгромили французские войска в битве при Нови.
Подробнее…
Видеоролик:
YouTube Яндекс |
|
45 |
20 августа |
1939 г. Начало наступления советских войск под командованием Г.К. Жукова против японских войск в районе Халхин-Гола.
Подробнее…
Видеоролик:
YouTube Яндекс |
|
46 |
23 августа |
День воинской славы России. В этот день в 1943 году советские войска разгромили немецко-фашистские войска в Курской битве.
Подробнее…
Видеоролик:
YouTube Яндекс |
|
47 |
24 августа |
1944г. Освобождение Кишинева от немецко-фашистских захватчиков.
Подробнее…
Видеоролик:
YouTube Яндекс |
|
48 |
2 сентября |
Памятная дата России. В этот день в 1945 году окончилась Вторая мировая война.
Подробнее…
Видеоролик:
YouTube Яндекс |
|
49 |
8 сентября |
День воинской славы России. В 1812 году русская армия под командованием Михаила Илларионовича Кутузова выстояла в генеральном сражении с французской армией при селе Бородино.
Подробнее…
Видеоролик:
YouTube Яндекс |
|
50 |
11 сентября |
День воинской славы России. В 1790 году русская эскадра под командованием Фёдора Фёдоровича Ушакова одержала победу над турецкой эскадрой у мыса Тендра.
Подробнее…
Видеоролик:
YouTube Яндекс |
|
51 |
21 сентября |
День воинской славы России. В 1380 году русские полки во главе с великим князем Дмитрием Донским одержали победу над ордынскими войсками в Куликовской битве.
Подробнее…
Видеоролик:
YouTube Яндекс |
|
52 |
24 сентября |
Памятная дата военной истории России. В 1799 году русские войска под командованием Александра Васильевича Суворова совершили героический переход через перевал Сен-Готард в Швейцарии.
Подробнее…
Видеоролик:
YouTube Яндекс |
|
53 |
26 сентября |
Памятная дата военной истории России. В этот день в 1914 году русские войска под командованием Николая Иванова разгромили австро-венгерские войска в Галицийской битве.
Подробнее…
Видеоролик:
YouTube Яндекс |
|
54 |
9 октября |
Памятная дата военной истории России. В этот день в 1760 году русские войска в ходе Семилетней войны заняли Берлин.
Подробнее…
Видеоролик:
YouTube Яндекс |
|
55 |
14 октября |
Памятная дата военной истории России. В этот день в 1811 году русские войска под командованием Михаила Илларионовича Кутузова разбили турецкую армию под Рущуком.
Подробнее…
Видеоролик:
YouTube Яндекс |
|
56 |
18 октября |
Памятная дата военной истории России. В этот день в 1813 году русская армия и её союзники одержали победу над наполеоновскими войсками в Битве народов под Лейпцигом.
Подробнее…
Видеоролик:
YouTube Яндекс |
|
57 |
20 октября |
Памятная дата военной истории России. В этот день в 1827 году русский флот и его союзники разгромили турецкий флот в Наваринском морском сражении.
Подробнее…
Видеоролик:
YouTube Яндекс |
|
58 |
4 ноября |
День народного единства. В 1612 году народное ополчение под командованием князя Дмитрия Пожарского освободило Москву от иноземных захватчиков.
Подробнее…
Видеоролик:
YouTube Яндекс |
|
59 |
6 ноября |
Памятная дата военной истории Отечества. В этот день в 1943 году советские войска освободили Киев от немецко-фашистских захватчиков.
Подробнее…
Видеоролик:
YouTube Яндекс |
|
60 |
7 ноября |
День воинской славы России. 7 ноября 1941 года. Парад на Красной Площади.
Подробнее…
Видеоролик:
YouTube Яндекс |
|
61 |
11 ноября |
Памятная дата мировой военной истории. В этот день в 1918 году окончилась Первая мировая война.
Подробнее…
Видеоролик:
YouTube Яндекс |
|
62 |
11 ноября |
Памятная дата военной истории России. В этот день в 1480 году завершилось Стояние на Угре – хан Золотой Орды не решился принять сражение с войском Великого князя Ивана III и отступил. Так, без боя, одной только демонстрацией силы и решимости, Русское государство окончательно обрело независимость.
Подробнее…
Видеоролик:
YouTube Яндекс |
|
63 |
19 ноября |
19 ноября 1942 года - Начало контрнаступления советских войск под Сталинградом День ракетных войск и артиллерии.
Подробнее…
Видеоролик:
YouTube Яндекс |
|
64 |
26 ноября |
Памятная дата военной истории России. В этот день в 1904 году русские войска в ходе обороны крепости Порт-Артур отразили штурм японских войск.
Подробнее…
Видеоролик:
YouTube Яндекс |
|
65 |
1 декабря |
День воинской славы России. В 1853 году русская эскадра под командованием Павла Степановича Нахимова одержала победу над турецкой эскадрой у мыса Синоп.
Подробнее…
Видеоролик:
YouTube Яндекс |
|
66 |
3 декабря |
Памятная дата России. День Неизвестного солдата.
Подробнее…
Видеоролик:
YouTube Яндекс |
|
67 |
5 декабря |
День воинской славы России. В этот день в 1941 году началось контрнаступление Красной армии против немецко-фашистских войск в битве под Москвой.
Подробнее…
Видеоролик:
YouTube Яндекс |
|
68 |
9 декабря |
Памятная дата России. День Героев Отечества. В 1769 году был учрежден военный орден Святого Георгия Победоносца.
Подробнее…
Видеоролик:
YouTube Яндекс |
|
69 |
10 декабря |
Памятная дата военной истории России. В этот день в 1877 году русские войска взяли турецкую крепость Плевна.
Подробнее…
Видеоролик:
YouTube Яндекс |
|
70 |
17 декабря |
Памятная дата военной истории России. В этот день в 1788 году русские войска под командованием князя Григория Александровича Потемкина взяли турецкую крепость Очаков.
Подробнее…
Видеоролик:
YouTube Яндекс |
|
71 |
24 декабря |
День воинской славы России. В 1790 году русские войска под командованием Александра Васильевича Суворова взяли турецкую крепость Измаил.
Подробнее…
Видеоролик:
YouTube Яндекс | | |
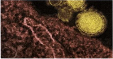
| 05.02.2020 |
Как защититься от коронавируса2019-nCoV
Известно, что на 28.01.2020 уже 6057 человек инфицированы и зарегистрировано не менее 130 смертей.
Большая часть случаев заболеваний зафиксированы в Китае, но на 29.01.2020 подтверждены завозные случаи заболевания более чем в 15 странах, включая Францию, Германию, Австралию и США. Вторичного распространения инфекции в этих странах не отмечается.

Что такое коронавирусы?
Коронавирусы — это семейство вирусов, которые преимущественно поражают животных, но в некоторых случаях могут передаваться человеку. Обычно заболевания, вызванные коронавирусами, протекают в лёгкой форме, не вызывая тяжёлой симптоматики. Однако, бывают и тяжёлые формы, такие как ближневосточный респираторный синдром (Mers) и тяжёлый острый респираторный синдром (Sars).
Каковы симптомы заболевания, вызванного новым коронавирусом?
Чувство усталости
Затруднённое дыхание
Высокая температура
Кашель и / или боль в горле
Симптомы во многом сходны со многими респираторными заболеваниями, часто имитируют обычную простуду, могут походить на грипп.
Если у вас есть аналогичные симптомы, подумайте о следующем:
Вы посещали в последние две недели в зоны повышенного риска (Китай и прилегающие регионы)?
Вы были в контакте с кем-то, кто посещал в последние две недели в зоны повышенного риска (Китай и прилегающие регионы)?
Если ответ на эти вопросы положителен- к симптомам следует отнестись максимально внимательно.

Как передаётся коронавирус?
Как и другие респираторные вирусы, коронавирус распространяется через капли, которые образуются, когда инфицированный человек кашляет или чихает. Кроме того, он может распространяться, когда кто-то касается любой загрязнённой поверхности, например дверной ручки. Люди заражаются, когда они касаются загрязнёнными руками рта, носа или глаз.
Изначально, вспышка произошла от животных, предположительно, источником стал рынок морепродуктов в Ухани, где шла активная торговля не только рыбой, но и такими животными, как сурки, змеи и летучие мыши.
Как защитить себя от заражения коронавирусом?
Самое важное, что можно сделать, чтобы защитить себя, — это поддерживать чистоту рук и поверхностей.
Держите руки в чистоте, часто мойте их водой с мылом или используйте дезинфицирующее средство.
Также старайтесь не касаться рта, носа или глаз немытыми руками (обычно такие прикосновения неосознанно свершаются нами в среднем 15 раз в час).
Носите с собой дезинфицирующее средство для рук, чтобы в любой обстановке вы могли очистить руки.
Всегда мойте руки перед едой.
Будьте особенно осторожны, когда находитесь в людных местах, аэропортах и других системах общественного транспорта. Максимально сократите прикосновения к находящимся в таких местах поверхностям и предметам, и не касайтесь лица.
Носите с собой одноразовые салфетки и всегда прикрывайте нос и рот, когда вы кашляете или чихаете, и обязательно утилизируйте их после использования.
Не ешьте еду (орешки, чипсы, печенье и другие снеки) из общих упаковок или посуды, если другие люди погружали в них свои пальцы.
Избегайте приветственных рукопожатий и поцелуев в щеку.
На работе- регулярно очищайте поверхности и устройства, к которым вы прикасаетесь (клавиатура компьютера, панели оргтехники общего использования, экран смартфона, пульты, дверные ручки и поручни).

1. Аккуратно закройте нос и рот маской и закрепите её, чтобы уменьшить зазор между лицом и маской.
2. Не прикасайтесь к маске во время использования. После прикосновения к использованной маске, например, чтобы снять её, вымойте руки.
3. После того, как маска станет влажной или загрязнённой, наденьте новую чистую и сухую маску.
4. Не используйте повторно одноразовые маски. Их следует выбрасывать после каждого использования и утилизировать сразу после снятия.
Что можно сделать дома.
Расскажите детям о профилактике коронавируса. Дети и подростки больше других рискуют заразиться, они часто близко взаимодействуют друг с другом и не являются эталоном в поддержании чистоты.
Объясните детям, как распространяются микробы, и почему важна хорошая гигиена рук и лица.
Убедитесь, что у каждого в семье есть своё полотенце, напомните, что нельзя делиться зубными щётками и другими предметами личной гигиены.
Часто проветривайте помещение.
Можно ли вылечить новый коронавирус?
На сегодняшний день большинство заболевших людей выздоравливают. Необходимо обращаться за медицинской помощью. Врач госпитализирует по показаниям и назначит лечение.
Не существует специфического противовирусного препарата от нового коронавируса- так же, как нет специфического лечения от большинства других респираторных вирусов, вызывающих простудные заболевания.
Но есть схемы лечения и препараты, которые помогают выздороветь.
Самым опасным осложнением является вирусная пневмония. Чтобы вовремя начать лечение нужно своевременно обратиться за медицинской помощью.
Кто в группе риска?
Люди всех возрастов рискуют заразиться вирусом. В заявлении комиссии по здравоохранению Ухани говорится, что в основном заболели люди старше 50-ти лет.
Однако, как и в случае большинства других вирусных респираторных заболеваний, люди с ослабленной иммунной системой, имеющие сопутствующие болезни - в зоне риска.
Есть ли вакцина для нового коронавируса?
В настоящее время такой вакцины нет, однако, в ряде стран уже начаты её разработки.
В чем разница между коронавирусом и вирусом гриппа?
Коронавирус и вирус гриппа могут иметь сходные симптомы, но генетически они абсолютно разные.
Вирусы гриппа размножаются очень быстро - симптомы проявляются через два-три дня после заражения, а коронавирусу требуется для этого до 14 дней.
Новый коронавирус страшнее прошлых эпидемий?
Испанка, или испанский грипп, вызванный вирусом H1N1 - остаётся самой разрушительной пандемией гриппа в современной истории. Заболевание охватило весь земной шар в 1918 году и, по оценкам, привело к гибели от 50 до 100 миллионов человек.
Вспышка свиного гриппа 2009 года, унесла жизни 575,400 человек.
Азиатский грипп в 1957 году, привёл к гибели примерно двух миллионов человек, а гонконгский грипп 11 лет спустя унёс один миллион человек.
Коронавирус 2019 nCoV- поможет маска!

В условиях сложившейся ситуации в отношении увеличения потенциального риска завоза и распространения на территории Российской Федерации нового коронавируса 2019 - nCoV, напоминаем о целесообразности использования одноразовой медицинской маски в качестве эффективной меры профилактики заражения и распространения инфекции.
Коронавирус 2019 - nCoVпередаётся от человека к человекупри близком контакте, через микрокапли респираторных выделений, которые образуются, когда инфицированные люди говорят, чихают или кашляют.

Также, заражение может происходить в результате непосредственного или косвенного контакта здорового человека с респираторными выделениями инфицированного.
Использование одноразовой медицинской маски предотвращает попадание в организм здорового человека капель респираторных выделений, которые могут содержать вирусы, через нос и рот.
Надевайте маску, когда ухаживаете за членом семьи с симптомами вирусного респираторного заболевания.
Если вы больны, или у вас симптомы вирусного респираторного заболевания, наденьте маску перед тем, как приближаться к другим людям.
Если у вас симптомы вирусного респираторного заболевания и вам необходимо обратиться к врачу, заблаговременно наденьте маску, чтобы защитить окружающих в зоне ожидания.
Носите маску, когда находитесь в людных местах.
Используйте маску однократно, повторное использование маски недопустимо. Меняйте маску каждые 2-3 часа или чаще.
Если маска увлажнилась, её следует заменить на новую.
После использования маски, выбросьте её и вымойте руки.
Одноразовая медицинская маска, при правильном использовании - надёжный и эффективный метод снижения риска заражения коронавирусом и предотвращения распространения гриппа.
ИСПОЛЬЗОВАНИЕ ОДНОРАЗОВОЙ МАСКИ СНИЖАЕТ ВЕРОЯТНОСТЬ ЗАРАЖЕНИЯ КОРОНАВИРУСОМ 2019- nCoV
НАДЕВАЙТЕ МАСКУ В ЗАКРЫТЫХ ПОМЕЩЕНИЯХ, В МЕСТАХ БОЛЬШОГО СКОПЛЕНИЯ ЛЮДЕЙ, ПРИ КОНТАКТАХ С ЛЮДЬМИ С СИМПТОМАМИ ВИРУСНОГО РЕСПИРАТОРНОГО ЗАБОЛЕВАНИЯ
МАСКА ДОЛЖНА ПЛОТНО ПРИЛЕГАТЬ К ЛИЦУ И ЗАКРЫВАТЬ РОТ, НОС И ПОДБОРОДОК
 ПРИ НАЛИЧИИ ВШИТОГО КРЕПЛЕНИЯ В ОБЛАСТИ НОСА, ЕГО НАДО ПЛОТНО ПРИЖАТЬ К СПИНКЕ НОСА
ЕСЛИ НА МАСКЕ ЕСТЬ СПЕЦИАЛЬНЫЕ СКЛАДКИ, - РАСПРАВЬТЕ ИХ
МЕНЯЙТЕ МАСКУ НА НОВУЮ КАЖДЫЕ 2-3 ЧАСА ИЛИ ЧАЩЕ
ВЫБРАСЫВАЙТЕ МАСКУ В УРНУ СРАЗУ ПОСЛЕ ИСПОЛЬЗОВАНИЯ
ПОСЛЕ ПРИКОСНОВЕНИЯ К ИСПОЛЬЗОВАННОЙ МАСКЕ, - ТЩАТЕЛЬНО ВЫМОЙТЕ РУКИ С МЫЛОМ
НОСИТЬ МАСКУ НА БЕЗЛЮДНЫХ ОТКРЫТЫХ ПРОСТРАНСТВАХ - НЕЦЕЛЕСООБРАЗНО ПОВТОРНО ИСПОЛЬЗОВАТЬ МАСКУ НЕЛЬЗЯ
ТОЛЬКО В СОЧЕТАНИИ С ТЩАТЕЛЬНОЙ ГИГИЕНОЙ РУК И КАРАНТИННЫМИ МЕРАМИ ИСПОЛЬЗОВАНИЕ МАСКИ <_>БУДЕТ МАКСИМАЛЬНО ЭФФЕКТИВНО ДЛЯ
ПРЕДОТВРАЩЕНИЯ ЗАРАЖЕНИЯ И РАСПРОСТРАНЕНИЯ КОРОНАВИРУСА 2019 - nCoV
МАКСИМАЛЬНО ЭФФЕКТИВНО ИСПОЛЬЗОВАНИЕ МАСКИ - ТОЛЬКО В СОЧЕТАНИИ С ВАКЦИНАЦИЕЙ, ТЩАТЕЛЬНОЙ ГИГИЕНОЙ РУКИ КАРАНТИННЫМИ МЕРАМИ | |
| 31.01.2020 |
Уважаемые родители (законные представители) будущих первоклассников!
С 01 февраля 2020 года МБОУ – СОШ №2 им. А.И. Герцена
объявляет набор детей в 1 класс на 2020 - 2021 учебный год.
1. Для записи ребёнка в первый класс родители (законные представители) предъявляют паспорт, иной документ, удостоверяющий личность родителей (законных представителей), а также:
- письменное заявление родителей (законных представителей) о приёме ребёнка в первый класс установленной формы;
- заявление о выборе языка обучения и родного языка для изучения;
- оригинал и копию свидетельства о рождении ребёнка;
- документ, содержащий сведения о регистрации ребенка по месту жительства или по месту пребывания на закрепленной территории;
- копия паспорта родителей (законных представителей).
2. В 1 класс принимаются дети, достигшие возраста 6,5-7 лет (по состоянию на 01.09.2020 г.), но не позже достижения ими возраста восьми лет при отсутствии противопоказаний по состоянию здоровья.
3. Зачисление обучающихся, проживающих на закреплённой территории за МБОУ-СОШ № 2 им. А.И.Герцена, осуществляется с 01.02.2020 г. по 30.06.2020 года на основе полного пакета документов.
4. Для детей, не проживающих на закрепленной территории, прием заявлений в первый класс начинается с 1 июля 2020 года до момента заполнения свободных мест, но не позднее 5 сентября 2020 года.
5. Ответственный за организацию приема обучающихся в 1 класс МБОУ-СОШ № 2 им. А.И.Герцена на 2020-2021 учебный год Евсюкова В.В. , заместитель директора по УВР (контактный телефон: 4-14-97).
6.Ответственный за прием и регистрацию документов в 1 класс Типикина А.А. , секретарь школы (контактный телефон: 4-16-27)
7. График приема документов в ОО для закрепленных лиц:
понедельник – пятница с 10-00 до 12-00, с 14-30 до 16-00. Суббота - воскресенье – выходной.
Обращаться в канцелярию к секретарю школы. (Контактные телефоны: 4-16-27, 4-14-97).
Администрация школы
| |
| 06.12.2019 |
Рекомендации Роспотребнадзора по выбору сладких новогодних подарков.
Приближается пора новогодних праздников. При выборе новогодних кондитерских наборов необходимо быть предельно внимательными. Важно, чтобы долгожданные подарки были не только яркими, красивыми и интересными, но и в первую очередь безопасными.
В первую очередь, при выборе сладкого подарка, следует обращать внимание на наличие маркировки, которая должна быть четкая, легко читаемая и содержать следующую информацию о продукте на русском языке:
- наименование пищевой продукции;
- наименование и место нахождения изготовителя пищевой продукции;
- масса нетто;
- дата изготовления;
- срок годности пищевой продукции;
- условия хранения пищевой продукции;
- показатели пищевой ценности пищевой продукции;
- состав (информация о наличии в составе кондитерских изделий компонентов, являющихся потенциальными аллергенами (например: злаки, арахис, соя, молоко, орехи, кунжут) приводится независимо от их количества);
- рекомендации и (или) ограничения по использованию;
- единый знак обращения продукции на рынке государств - членов Таможенного союза (ЕАС).
К подарку должен прилагаться список, содержащий полную информацию о подарке, количестве конфет (поштучно) с указанием не только их названия, но и фабрик-изготовителей. Запрещено использовать в новогодних подарках скоропортящиеся продукты, такие как кремовые кондитерские изделия, творожные сырки, йогурты.
Как правило, сладкие подарки реализуются в упаковках из различных материалов, таких как металлической, бумажной или картонной, полимерной, из текстильных материалов, из комбинированных материалов. Упаковка, в которую помещены подарки, должна быть безопасная и соответствовать требованиям Технического регламента Таможенного союза ТР ТС 005/2011 «О безопасности упаковки». На упаковке, предназначенной для пищевой продукции, должна быть нанесена пиктограмма в виде рюмки и вилки, обведенные в кружок.
Если Вы приобретаете новогодний подарок в мягкой игрушке, не забывайте, что эта игрушка не должна содержать в наполнителе твердых или острых инородных предметов.
В случае если игрушка находится в самом подарке, то она должна иметь собственную упаковку. Размеры этой упаковки не должны вызывать риск удушья ребенка. Допускается наружное размещение игрушки пластмассовой без упаковки на упаковке пищевого продукта.
Каждый потребитель на приобретенный новогодний подарок и игрушки, вложенные в подарок, может потребовать документы, свидетельствующие об их безопасности.
При выявлении нарушений при реализации новогодних подарков Вы можете обратиться в Территориальный отдел Управления Роспотребнадзора по Брянской области в г.Клинцы, Клинцовском, Гордеевском и Красногорском районах любым доступным способом (Брянская область, г.Клинцы, ул. Скоробогатова, д.7а или на горячую линию по тел. 84833655097, 84833655096, 84833655093, 84833655696, 84833655567, 84833658187
| |
| 04.12.2019 |
Горячая линия по вопросам качества и безопасности детских товаров, по вопросам выбора новогодних подарков.
С 03 декабря по 20 декабря 2019г. г. Специалистами ТО Управления Роспотребнадзора по Брянской области в г. Клинцы, Клинцовском, Гордеевском и Красногорском районах
будет организована горячая линия по вопросам качества и безопасности детских товаров, по выбору новогодних подарков

Обратиться к специалистам Роспотребнадзора можно с 09:00 до 17:00 часов (перерыв с 12:00 по 12:45) по телефонам «горячей линии» 84833655097, 84833655096, 84833655093, 84833655696, 84833655567, 84833658187
или на личном приеме по адресу:
- Брянская область, г. Клинцы, ул. Скоробогатова, д. 7а (приемные дни: среда и пятница).;
Основные вопросы: качество и безопасность детской одежды, обуви, игрушек, сладких подарков, карнавальных костюмов, пиротехники, услуг аниматоров и детских елок, а также действующих нормативных требований к этой категории товаров и услуг.
| |
| 02.12.2019 |
ВНИМАНИЕ!!!!
 Правила поведения на льду: - Нельзя выходить на лед в темное время суток и при плохой видимости (туман, снегопад, дождь). - При переходе через реку следует пользоваться организованными ледовыми переправами. - При вынужденном переходе водоема безопаснее всего придерживаться проторенных троп или идти по уже проложенной лыжне. - Нельзя проверять прочность льда ударом ноги. - На замерзший водоем необходимо брать с собой прочный шнур длиной 20 — 25 метров с большой глухой петлей на конце и грузом. - При переходе водоема группой, необходимо соблюдать расстояние друг от друга (5–6 м). - Замерзшую реку (озеро) лучше переходить на лыжах, при этом крепления лыж нужно расстегнуть, чтобы при необходимости быстро их сбросить; лыжные палки держать в руках, не накидывая петли на кисти рук, чтобы в случае опасности сразу их отбросить. - Особенно осторожным нужно быть в местах, покрытых толстым слоем снега, в местах быстрого течения и выхода родников, вблизи выступающих над поверхностью кустов, осоки, травы, в местах впадения в водоемы ручьев, сброса вод промышленных предприятий. - Если есть рюкзак, повесить его на одно плечо, что позволит легко освободиться от груза в случае, если лед провалится. - Надо знать, что человек, попавший в ледяную воду, может окоченеть через 10-15 минут, а через 20 минут потерять сознание. Поэтому жизнь пострадавшего зависит от сообразительности и быстроты действия спасателей. Что делать, если Вы провалились под лед? - Не паниковать, не делать резких движений, стабилизировать дыхание. - Широко раскинуть руки в стороны и постараться зацепиться за кромку льда, чтобы не погрузиться с головой. - По возможности перебраться к тому краю полыньи, где течение не увлечет Вас под лед. - Попытаться осторожно, не обламывая кромку, без резких движений, наползая грудью, лечь на край льда, забросить на него одну, а затем и другую ногу. Если лед выдержал, медленно, откатится от кромки и ползти к берегу. - Передвигаться нужно в ту сторону, откуда пришли, ведь там лед уже проверен на прочность. Оказание помощи пострадавшему, провалившемуся под лед: - Вооружиться любой длинной палкой, доской, шестом или веревкой. Можно связать воедино шарфы, ремни или одежду. - Подползать к полынье очень осторожно, широко раскинув руки. - Сообщить пострадавшему криком, что идете ему на помощь, это придаст ему силы, уверенность. - Если Вы не один, то, лечь на лед и двигаться друг за другом. - Подложить под себя лыжи, фанеру или доску, чтобы увеличить площадь опоры и ползти на них. - За 3–4 метра протянуть пострадавшему шест, доску, кинуть веревку или шарф или любое другое подручное средство. - Осторожно вытащить пострадавшего на лед, и вместе с ним ползком выбираться из опасной зоны. - Доставить пострадавшего в теплое (отапливаемое) помещение. Оказать ему помощь: снять и отжать всю одежду, по возможности переодеть в сухую одежду и укутать полиэтиленом (возникнет эффект парника). - Вызвать скорую помощь по телефону «112». воды минус 2 °С окоченение может наступить через 5-8 мин. Если Вы стали свидетелем происшествия на водоёме, незамедлительно звоните с мобильного телефона по номеру «101»; -телефон Единой службы спасения - «112»; - «телефон доверия» регионального управления МЧС- 8(4832) 443-000.
| |
| 05.09.2019 |
Международный день солидарности в борьбе с терроризмом
3 сентября – Международный день солидарности в борьбе с терроризмом. Он приурочен к трагическим событиям, которые произошли 1-3 сентября 2004 года в Беслане, когда в результате беспрецедентного по жестокости террористического акта погибли 332 человека, в основном женщины и дети. В МБОУ-СОШ №2 им.А.И.Герцена прошли мероприятия, посвященные этой памятной дате.Важно помнить, что с терроризмом следует не только и не столько бороться, сколько предупреждать его возникновение.

| |
| 02.09.2019 |
Снова... в школу...
День знаний-праздник книг, цветов, друзей, улыбок, света! Двери нашей школы вновь распахнулись, чтобы дать старт новому учебному году! С самого утра на школьном дворе звучала музыка, на праздник шли нарядные ученики, а первоклассников встречали первые учителя. И вот фанфары известили о начале праздничной линейки. В этот день принимали поздравления не только первоклассники и их родители, но и все ребята, а также педагогический коллектив школы. На празднике присутствовали уважаемые гости, которые сказали много теплых слов в адрес школы. Они поздравили всех присутствующих - учащихся, их родителей и учителей - с наступившим новым учебным годом, пожелал крепкого здоровья, терпения, крепости сил, усидчивости и упорства в освоении новых знаний, доброты и уважения друг к другу.

| |
| 06.06.2019 |
О правилах безопасности детей на воде в летний период
Вот и наступили теплые дни, еще немного и начнутся долгожданные летние каникулы! Солнце, прекрасная погода, а главное - масса свободного времени и никаких забот до следующего учебного года!
Однако жаркая погода, большое количество свободного времени, отсутствие родительского контроля представляют повышенную опасность для детей.
Они отдыхают, играют, купаются, загорают, придумывают различные забавы, находясь на водоемах. Но далеко не всегда сознают, сколь опасна водная среда для человека.
В связи с наступлением жаркой погоды, в целях недопущения гибели детей на водоемах в летний период, обращаемся к вам с убедительной просьбой: провести разъяснительную работу о правилах поведения на природных и искусственных водоемах и о последствиях их нарушения. Этим вы предупредите несчастные случаи с вашими детьми на воде.
Уважаемые родители, чтобы с детьми ничего не случилось, надо помнить ряд правил и условий:
- когда дети купаются, всегда поблизости должны быть взрослые люди;
- не доверяйте надувным матрасам и кругам;
- не позволяйте устраивать в воде игры, связанные с захватами;
- если у водоема установлена табличка, запрещающая купание, пренебрегать этим предупреждением не стоит;
- дети раннего и дошкольного возраста могут приближаться к кромке воды и заходить в нее только под постоянным присмотром взрослых;
- запрещайте детям прыгать в воду в местах, где незнакомое дно, а также с лодок, причалов, мостов и других, не предназначенных для этого мест;
- паника – одна из причин трагедий на воде.
Научите ребенка звать на помощь, если он стал свидетелем происшествия на воде, не пугаться и, уж тем более, не пытаться спасать утопающего самостоятельно.
Чтобы не переживать и не ломать голову где и с кем проводит время ваше чадо, позаботьтесь заранее о досуге ребенка в период летних каникул. По возможности обеспечьте ему организованный летний отдых.
Безопасность на воде – это дело каждого! Если вы стали свидетелем того, как дети купаются или гуляют вблизи водоема без взрослых, не оставайтесь равнодушным.
Сделайте замечание, поинтересуйтесь, где их родители, по возможности свяжитесь с ними по телефону. Когда речь идет о жизни ребенка, нельзя оставаться в стороне!
Наслаждайтесь вместе с детьми летним солнцем и купанием в водоемах, но всегда помните о правилах безопасного поведения на воде!

| |
| 06.06.2019 |
Родители, научите ребенка соблюдать правила дорожного движения!
Комиссия по делам несовершеннолетних и защите их прав в целях предупреждения гибели, травматизма, несчастных случаев детей обращает внимание родителей на то, что зачастую дорожные происшествия с детьми происходят по их собственной неосторожности:
- переходят проезжую часть на красный сигнал светофора;
- допускают игры и катание на велосипеде по дорогам с оживленным транспортным движением;
- неправильно обходят стоящий транспорт;
- играют на проезжей части дорог;
- переходят дорогу в неустановленном месте и перед близко идущим транспортом.
В целях безопасности ваших детей на дороге с детства приучайте ребенка к уважению ПРАВИЛ ДОРОЖНОГО ДВИЖЕНИЯ, воспитывайте в нем чувства осторожности и осмотрительности. Проводите эту работу не от случая к случаю, а последовательно и ежедневно.
Переходя дорогу с ребенком, крепко держите его за руку, всегда строго соблюдайте правила дорожного движения. Сами добивайтесь этого от своего ребенка.
Находясь на улице с ребенком:
- На проезжей части не спешите и не бегите: переходите улицу всегда размеренным шагом. Иначе вы обучите ребенка спешить и бегать там, где надо наблюдать и обеспечить безопасность.
- Выходя на проезжую часть, прекращайте разговоры, ребенок должен привыкнуть, что при переходе улицы разговоры излишни.
- Никогда не переходите улицу наискосок, подчеркивайте ребенку всякий раз, что идете строго поперек улицы.
- Никогда не переходите улицу на красный свет или желтый сигнал светофора. Если ребенок сделает это с вами, он тем более сделает это без вас.
- Переходите улицу только на пешеходных переходах или на перекрестках по линии тротуаров.
- Если вы приучите детей ходить, где придется, никакая школа не будет в силах его переучить.
- Из автобуса, трамвая, такси старайтесь выходить первым, впереди ребенка, в противном случае он может упасть или выбежать на проезжую часть улицы.
- Привлекайте ребенка к участию в вашем наблюдении обстановки на улице: показывайте ему те машины, которые вы увидели издали и которые едут с большой скоростью, их надо пропустить.
- Подчеркивайте свои движения, находясь с ребенком на улице: поворот головы для осмотра улицы, остановку для пропуска машин, остановку для осмотра улицы. Если ребенок заметит их, значит, он обучается на вашем примере.
- Не выходите с ребенком из-за машины или из-за кустов, не осмотрев предварительно улицу, это типичная ошибка детей, и надо, чтобы они ее не повторяли.
- Не посылайте ребенка переходить или пересекать улицу впереди вас - этим вы обучаете его идти через улицу, не глядя по сторонам.
- Маленького ребенка надо крепко держать за руку, быть готовым удержать при попытке вырваться. Это типичная причина несчастных случаев.
Учите ребенка смотреть:
- У ребенка должен быть навык - прежде чем сделать первый шаг с тротуара, он поворачивает голову и осматривает улицу в обоих направлениях. Это должно быть доведено до автоматизма.
- Особенно внимательно надо осматривать улицу, когда с противоположной стороны находится родной дом, знакомые, родные, когда ребенок переходит улицу вслед за другими детьми или взрослыми. В этом случае легко не заметить машину.
- Смотреть «налево-направо» при переходе улицы иногда надо несколько раз, так как обстановка на дороге, улице может измениться.
- Иногда ребенок смотрит, но не замечает, например, легковую машину или мотоцикл, издалека. Научите его всматриваться вдаль и быстро замечать машину, мотоцикл, велосипед.
Учите ребенка предвидеть скрытую опасность:
Неоднократно покажите ребенку с тротуара стоящий автобус (спереди) и внезапно выезжающую из-за него попутную машину. Стоящий грузовик - и внезапно выезжающую из-за него другую машину.
Кусты, деревья, забор и машину из-за них. Ребенок должен привыкнуть, убедиться своими глазами, что за разными предметами на улице часто скрывается опасность, тогда он сможет предвидеть ее.
Помните: только внимательное отношение к детям со стороны родителей поможет избежать беды!

| |
| 06.06.2019 |
Осторожно: ребенок может выпасть из окна!
Ежегодно с наступлением теплого времени года отмечается рост несчастных случаев, связанных с выпадением из окон многоэтажных домов.
Дети получают тяжелые черепно-мозговые травмы, переломы конечностей, костей, повреждение внутренних органов, центральной нервной системы и др. Нередки случаи, когда ребенок умирает на месте или в машине скорой помощи…
Комиссия по делам несовершеннолетних и защите их прав призывает: родители, будьте внимательны! Следите, чтобы дети не подходили к открытым окнам, не ставьте малышей на подоконник, чтобы отвлечь их, строго предупреждайте попытки детских игр на подоконнике.
Как правило, во всех случаях падения дети самостоятельно забирались на подоконник, используя в качестве подставки различные предметы мебели, и, опираясь на противомоскитную сетку, выпадали из окна вместе с ней. При этом подавляющее большинство падений происходили из-за недостатка контроля взрослыми за поведением детей, рассеянностью родных и близких, забывающих закрывать окна, неправильной расстановкой мебели, дающей возможность детям самостоятельно забираться на подоконники, и наличие москитных сеток, создающих иллюзию закрытого окна.
Основные рекомендации родителям:
- не оставляйте окна открытыми, если дома маленький ребенок, поскольку достаточно отвлечься на секунду, которая может стать последним мгновением в жизни ребенка или искалечить её навсегда;
- не оставляйте ребенка без присмотра, особенно играющего возле окон, стеклянных дверей, не показывайте, как открывается окно, не ставьте его на подоконник;
- не ставьте мебель поблизости окон, чтобы ребёнок не взобрался на подоконник и не слетел вниз;
- не позволяйте детям прыгать на кровати или другой мебели, расположенной вблизи окон;
- не кладите вещи в беспорядке в процессе уборки возле балконных или межкомнатных остеклённых дверей, так как ребёнок может споткнуться и нанести себе травму, не разрешайте ему выходить на балкон без сопровождения взрослых;
- разъясняйте детям меры безопасности, научить старших детей приглядывать за младшими;
- тщательно подбирайте аксессуары на окна для детской комнаты. В частности, средства солнцезащиты, такие как жалюзи и рулонные шторы должные быть без свисающих шнуров и цепочек, так как ребёнок может в них запутаться и спровоцировать удушье;
- установите на окна блокираторы, другие ограничители (ручка с ключом, решетка «кидстоп», фиксаторы поворота), препятствующие открытию окна ребёнком самостоятельно.
Уважаемые родители, не оставляйте маленького ребёнка без присмотра!
Помните: только внимательное отношение к детям со стороны родителей поможет избежать беды!

| |
| 06.04.2019 |
5 апреля 2019 года прошел муниципальный этап XIX Всероссийской акции «Я – гражданин России». Инициативная группа МБОУ - СОШ № 2 им.А.И.Герцена с темой проекта «Расскажи мне сказку», координатор проекта - Пинчукова Людмила Афанасьевна по результатам голосования жюри стала победителем !!!! Поздравляем ребят и их координатора, желаем дальнейших успехов и побед!
| |
| 06.04.2019 |
5 апреля в ЦКиД "Современник" состоялся традиционный праздник "За честь школы", на котором присутствовали самые главные жители нашего школьного государства-его ученики, учителя, родители. Почётными гостями праздника стали Глава клинцовской городской администрации, выпускник нашей школы, А.И.Морозов, его первый заместитель Т.А.Харченко, ветераны Великой Отечественной войны и социальные партнёры школы. Прозвучало много поздравительных слов в адрес школы и педагогов, самые лучшие из них были отмечены грамотами Клинцовской городской администрации и администрации школы, а также были вручены грамоты и подарки в номинациях "Ученик года", "Герценовец" и "Самый активный класс года". Президент РЧОО «Радимичи — детям Чернобыля» А.В.Будаев вручил волонтёрам клуба "Росток" волонтёрские книжки. Учащиеся школы подготовили для всех собравшихся праздничную программу, также в празднике приняли участие юные модели из агентства “Я Модель”.
| |
| 27.03.2019 |
27 марта состоялся городской фестиваль театрального искусства среди детских и юношеских театральных коллективов образовательных организаций «Театр на школьной сцене», в котором приняли участие театральные коллективы школ и колледжей нашего города. Поздравляем театральный коллектив МБОУ-СОШ №2 им.А.И.Герцена "Лира", получивший Гран-при фестиваля и Власенко Наталью, ученицу 10а класса, ставшую победителем в номинации "Лучшая женская роль".
| |
| 23.03.2019 |
22 марта в МБОУ-СОШ №2 им.А.И.Герцена Неделя науки закрылась фестивалем проектных и исследовательских работ обучающихся «Герценовские чтения», в которых приняли участие ребята из школ города и средней школы №2 г.Гомеля имени Г.М.Склезнева. Почётными гостями фестиваля стали: Афанасьев С.Г. - президент Государственного фонда развития Северо-Запада, доктор экономики; Афанасьева О.Ф. - официальный эксперт 72 Генеральной Ассамблеи Организации Объединенных Наций, научный сотрудник БГИТУ; Емельяненко В.И. -председатель Клинцовской общественной организации ветеранов погранвойск Брянского регионального отделения «Российского Совета ветеранов пограничной службы»; Горохова Н.В. -главный редактор газеты «Труд»; Банная Т.В. -ведущий специалист отдела культуры и по делам молодёжи Клинцовской городской администрации; специалисты отдела образования Клинцовской городской администрации Разумеева О.П. и Тимофеева А.Ю.. По итогам фестиваля победители были награждены грамотами и специальными призами, учреждёнными почётными гостями фестиваля. Завершилась Неделя науки турниром ораторского мастерства. Компетентное и строгое жюри отметило всех участников конкурса, а победителем стала ученица 10а класса Сковородко Елизавета.
| |
| 16.03.2019 |
Утверждены расписания ЕГЭ, ОГЭ и ГВЭ на 2019 год
Расписания единого государственного экзамена (ЕГЭ), основного государственного экзамена (ОГЭ) и государственного выпускного экзамена (ГВЭ) на 2019 год утверждены совместными приказами Федеральной службы по надзору в сфере образования и науки и Министерства просвещения РФ и зарегистрированы Министерством юстиции РФ.
ЕГЭ в 2019 году традиционно пройдет в три этапа: досрочный (с 20 марта по 10 апреля), основной (с 27 мая по 1 июля) и дополнительный (с 3 по 20 сентября). Начнутся досрочный и основной периоды ЕГЭ с экзаменов по географии и литературе. В каждом из периодов проведения экзаменов предусмотрены резервные сроки.
Выпускники прошлых лет могут сдать ЕГЭ в досрочный период и резервные сроки основного периода ЕГЭ, выпускники текущего года – в основные сроки основного периода. Выпускники, у которых совпали сроки проведения экзаменов по отдельным учебным предметам, могут также сдать их в резервные сроки. Принять участие в ЕГЭ в иные сроки можно только при наличии уважительных причин (болезни или иных обстоятельств), подтвержденных документально и соответствующего решения государственной экзаменационной комиссии.
Выпускники, получившие неудовлетворительные результаты по русскому языку и математике, либо получившие повторно неудовлетворительный результат по одному из этих учебных предметов в резервный день, могут участвовать в ЕГЭ по русскому языку и математике базового уровня в дополнительный (сентябрьский) период.
ОГЭ для выпускников 9 классов также пройдет в три этапа: досрочный (с 22 апреля по 14 мая), основной (с 24 мая по 2 июля) и дополнительный (с 3 по 21 сентября).
Этими же приказами утверждены продолжительность проведения экзаменов и перечень дополнительных средств обучения, которые можно иметь при себе на экзаменах по различным предметам. Они остались без изменения по сравнению с прошлым годом.
| |
| 13.03.2019 |
13 марта в МБОУ-СОШ №2 им.А.И.Герцена прошёл школьный этап VIII городского дистанционного конкурса знатоков математики среди обучающихся 8-х классов.
| |
| 13.03.2019 |
12 марта прошел муниципальный этап Всероссийского конкурса чтецов "Живая классика", в котором приняли участие 25 обучающихся общеобразовательных организаций г. Клинцы. Поздравляем Сковородко Елизавету, ученицу 10а класса, ставшую лауреатом второй степени, и Баранову Евгению, ученицу 8а класса, лауреата третьей степени!!!
| |
| 11.03.2019 |
Информация
об обеспечении бесплатной школьной формой
будущих первоклассников из малообеспеченных семей
в 2019 году
Администрация МБОУ – СОШ №2 им. А.И. Герцена г. Клинцы сообщает о том, что в 2019 году будет осуществлено обеспечение бесплатной школьной формой первоклассников из малообеспеченных семей в соответствии с постановлением Правительства Брянской области от 11.07.2016 года № 363-П «Об утверждении Порядка обеспечения обучающихся в государственных и муниципальных общеобразовательных организациях Брянской области повседневной одеждой обучающихся (школьной формой)». Родителям (законным представителям) будущих первоклассников для получения бесплатной школьной формы необходимо предоставить:
1. Заявление от родителей (законных представителей).
2. Справку из соцзащиты, подтверждающую статус малообеспеченной семьи и действующей до 01.09.2019 г.
3. Копию паспорта родителей (законных представителей).
4. Копию свидетельства о рождении ребёнка.
5. Согласие на обработку персональных данных родителей (законных представителей) и ребёнка.
Также родителям (законным представителям) необходимо предоставить размеры ребенка ( рост, объем груди, объем талии).
Указанные документы необходимо предоставить заместителю директора по УВР Евсюковой В.В. не позднее 25 марта 2019 г.
Время приема документов: понедельник – пятница, с 14.00 до 17.00.
Контактный телефон: 4-14-97. | |
| 11.02.2019 |
Информация по МБОУ-СОШ №2 им.А.И.Герцена
о проведении мероприятий в рамках «Месяца безопасности» с 11.01.2019 по 15.02.2019г.
С 11.01. 2019г по 15.02.2019 г. в рамках «Месяца безопасности» в школе прошли следующие мероприятия:
1. Проведены беседы по противопожарной безопасности с записью в журнал по противопожарной безопасности ( согласно плану проведения бесед) с обучающимися 1-11 классов.
2. Проведены беседы с записью в журнал по безопасности жизнедеятельности по темам : «Осторожно, тонкий лёд!», «Осторожно, сосулька!» с обучающимися 1-11 классов.
3. Проведён конкурс рисунков «Осторожно, тонкий лёд!» с обучающимися 3-4 классов.
4. Обновлена информация на стендах по безопасности в классных комнатах 1-11 классов.
5. Учителями физики, химии, технологии, ОБЖ, начальных классов с учащимися 1-11 классов проведены беседы о причинах возникновения пожаров, правилах пользования электроприборами, средствами пожаротушения.
6. 25 января в школе проведено общешкольное родительское собрание на котором перед родителями выступила инструктор по ОМР ВДПО Н.С.Роженок.
7. 8 февраля была проведена плановая учебная пожарная эвакуация. | |
| 07.02.2019 |
ОБЪЯВЛЕНИЕ
УВАЖАЕМЫЕ РОДИТЕЛИ (ЗАКОННЫЕ ПРЕДСТАВИТЕЛИ) ОБУЧАЮЩИХСЯ 1-Х КЛАССОВ!
АДМИНИСТРАЦИЯ ШКОЛЫ ДОВОДИТ ДО ВАШЕГО СВЕДЕНИЯ, ЧТО ДОПОЛНИТЕЛЬНЫЕ КАНИКУЛЫ ДЛЯ ОБУЧАЮЩИХСЯ 1-Х КЛАССОВ С 11.02.19 ПО 17.02.19 г.
(ОСНОВАНИЕ: РЕШЕНИЕ ПЕДАГОГИЧЕСКОГО СОВЕТА
МБОУ- СОШ №2 им. А.И. ГЕРЦЕНА №3 ОТ 07.02.19 г.) | |
| 04.02.2019 |

Уважаемые педагоги и родители!
Вы имеете возможность принять участие в независимой оценке качества условий оказания образовательных услуг по каждому образовательному учреждению на сайте департамента образования и науки Брянской области.
Пройдя по ссылке (нажав на баннер) вы можете заполнить интерактивную анкету о качестве условий оказания образовательных услуг.
Анкета является анонимной. | |
| 28.01.2019 |
Уважаемые родители (законные представители)
будущих первоклассников!
С 01 февраля 2019 года МБОУ – СОШ №2 им. А.И. Герцена
объявляет набор детей в 1 класс на 2019 - 2020 учебный год.
1. Для записи ребёнка в первый класс родители (законные представители) предъявляют паспорт, иной документ, удостоверяющий личность родителей (законных представителей), а также:
- письменное заявление родителей (законных представителей) о приёме ребёнка в первый класс установленной формы;
- оригинал и копию свидетельства о рождении ребёнка;
- документ, содержащий сведения о регистрации ребенка по месту жительства или по месту пребывания на закрепленной территории;
- копия паспорта родителей (законных представителей).
2. В 1 класс принимаются дети, достигшие возраста 6,5-7 лет (по состоянию на 01.09.2019 г.), но не позже достижения ими возраста восьми лет при отсутствии противопоказаний по состоянию здоровья.
3. Зачисление учащихся в 1-й класс осуществляется до 30.06.2019 г. на основе полного пакета документов.
4. Для детей, не проживающих на закрепленной территории, прием заявлений в первый класс начинается с 1 июля текущего года до момента заполнения свободных мест, но не позднее 5 сентября текущего года.
5. График приема документов в ОО для закрепленных лиц:
ежедневно (кроме субботы и воскресенья) с 01.02.2019 г. по 30.06.2019 г.
с 14.00 до 17.00 (обращаться к секретарю школы).
Администрация
| |
| 26.01.2019 |
Общешкольное родительское собрание
25 января в школе прошло общешкольное родительское собрание, посвящённое вопросам соблюдения Закона Брянской области N 51-З от 12 июля 2013 года «О требованиях к одежде обучающихся в государственных и муниципальных общеобразовательных организациях и профессиональных образовательных организациях в Брянской области» и вопросам "Месяца безопасности". Перед родителями выступила директор школы Пинчукова Л.А., а так же заместитель директора Почепской швейной фабрики "Надежда-Стиль" Е.И.Ромашина и инструктор по ОМР ВДПО Н.С.Роженок.

| |
| 23.01.2019 |
ОБЪЯВЛЕНИЕ
28 января В 17.00 В АКТОВОМ ЗАЛЕ ШКОЛЫ СОСТОИТСЯ СОБРАНИЕ РОДИТЕЛЕЙ БУДУЩИХ ПЕРВОКЛАССНИКОВ С ЦЕЛЬЮ ИНФОРМИРОВАНИЯ РОДИТЕЛЕЙ (ЗАКОННЫХ ПРЕДСТАВИТЕЛЕЙ) ОБ УСЛОВИЯХ ПРИЕМА ДЕТЕЙ В ПЕРВЫЙ КЛАСС НА 2019-2010 УЧЕБНЫЙ ГОД.
АДМИНИСТРАЦИЯ
| |
| 23.01.2019 |
Родительское собрание "Устная часть ГИА как объективная проверка требований ФГОС основного общего образования"
22 января в МБОУ-СОШ №2 им.А.И.Герцена прошло родительское собрание по теме "Устная часть ГИА как объективная проверка требований ФГОС основного общего образования", на котором родителям обучающихся 9-х классов был разъяснён порядок проведения, сроки и продолжительность , порядок проверки и оценивания, минимальное и максимальное количество баллов за устную часть итогового собеседования по русскому языку. Родителям были даны рекомендации по организации режима дня девятиклассников во время подготовки к экзаменам.

| |
| 23.01.2019 |
Месячник оборонно-массовой и военно-патриатической работы
С 23 января по 23 февраля в школе проходит месячник оборонно-массовой и военно-патриотической работы.
План проведения месячника.

| |
| 04.01.2019 |
Новогодние каникулы
Идет любимое время ребятишек - новогодние и рождественские праздники. Вместе со своими классными руководителями ребята весело проводят свой досуг. Они посещают Ледовую арену, Кинопарк, мероприятия, проводимве для них сотрудниками детской библиотеки.

| |
| 27.12.2018 |
Утренник на Клинцовском хлебокомбинате
27 декабря учащиеся школы провели новогодний утренник для для детей работников Клинцовского хлебокомбината.Дед Мороз, Снегурочка и сказочные персонажи поздравили ребят с Новым годом, провели веселые игры, конкурсы. | |
| 26.12.2018 |
Выставка новогодней игрушки
Прекрасное время года – зима! Замечательна она и тем, что пробуждает фантазию и воображение.Глядя на эту белоснежную красоту хочется творить! Традиционно в канун Нового года в нашей школе проводится выставка поделок. В этом году выставка прошла под названием « Новогодняя игрушка» и "Символ года". На выставке представлены разнообразные новогодние поделки, которые изготавливались из ваты, из ниток, из салфеток , из бумаги, из картона, из ватных дисков.Все участники выставки смогли проявить свою фантазию и творческий потенциал.

| |
| 26.12.2018 |
Новогодние утренники
За окном зима – время самых коротких дней и самых длинных ночей. Ведь именно зимой к нам приходит Новый год и вместе с ним и «хвойное» радостное настроение счастья, перемен надежд, которое несёт с собой этот всеми любимый праздник. 25 декабря в школе прошли новогодние утренники для учащихся 2-х, 4-х и 6-7-х классов. | |
| 25.12.2018 |
Стипендиаты 2018-2019 уч. года
24 декабря в Хрустальном зале областного Правительства состоялась торжественная церемония чествования именных стипендиатов Брянской областной Думы и Правительства Брянской области. В 2018–2019 учебном году присуждена 71 стипендия. Поздравляем ученика 10б класса, Меленевского Александра, который в серьёзной конкурентной борьбе убедительно доказал, что достоин называться стипендиатом Брянской областной Думы и Правительства Брянской области.

| |
| 24.12.2018 |
Школа молодого политика
24 декабря состоялось очередное заседание школы молодого политика. Заседание прошло в кабинете Главы Клинцовской городской администрации Морозова А.И., в работе ШМП также принял участие Глава города Клинцы Шкуратов О.П. | |
| 21.12.2018 |
Встреча интеллектуального кафе
21 декабря в школе прошла встреча в интеллектуальном кафе "Открытие, изменившее мир". Были представлены работы: "Персональные компьютеры" Асе Абдулаевой и Домрачевым Тимуром, "Мобильная связь и мобильные телефоны" Остапенко Кристиной и Шаталовым Артёмом, "Тайна открытия бумаги" Мачуло Александром и Кузнецовой Юлией, "Розеттский камень" Быковой Яной, "Прикосновение гения" Поповой Ксенией и Сницаренко Ангелиной, "Как создавалась таблица Меднелеева" Макриденко Алёной, "Инновации в стоматологии" Левша Артёмом и Чепик Романом, "История фотографии" Горлиной Марией, "Открытие пенициллина" Буренок Алиной и Сидоренко Алёной, "Нова эра в медицине" Шкуратовым Константином, "Технология GRISPR-CAS9" Меленевским Александром. В результате открытого голосования учащихся победителями стали Мачуло Александр и Кузнецова Юлия ( рук. Иванькова О.В.). Поздравляем!
| |
| 19.12.2018 |
Новые юнармейцы СОШ № 2
19 декабря 20 учащихся 7-8 классов вступили в ряды Всероссийского детско-юношеского военно-патриотического общественного движения «Юнармия» Брянской области имени Героя Российской Федерации А.Г. Карлова.
| |
| 17.12.2018 |
Урок здоровых зубов
17 декабря врач-стоматолог Пчелина Татьяна Михайловна провела для учащихся 1-2 классов Урок здоровых зубов.Татьяна Михайловна рассказала о том, как важно сохранить зубы здоровыми с самого раннего детства. Обучила ребят гигиеническим навыкам: как правильно ухаживать за полостью рта, сколько раз в день чистить зубы, как регулярно посещать стоматолога, сколько пасты выдавливать на зубную щетку. А наглядное пособие в виде макета челюсти значительно помогло им решить поставленную задачу. В конце мероприятия каждый его участник получил полезные подарки от фирмы "COLGATE".
| |
| 13.12.2018 |
Методический день в МБОУ-СОШ № 2 им. А. И. Герцена
13 декабря в МБОУ-СОШ № 2 им.А.И.Герцена прошёл методический день. В 2018-2019 учебном году школа является муниципальной опорной площадкой по теме: Профориентационный проект «Траектория успеха», это и определило тему методического дня «Инновационный подход к организации профориентационной работы в школе как условие формирование конкурентоспособной личности выпускника».
На семинар были приглашены представители администрации школ города, педагоги-психологи, руководители предметных городских методических объединений, а также ответственные за профориентационную работу. Гостей встречали лидеры школьного ученического самоуправления, они предлагали им зарегистрироваться и ознакомиться с программой методического дня. Гости могли познакомиться с жизнью школы и увидеть выставку работ учащихся начальной школы «В мире профессий», рассмотрели рукописные книги, созданные учащимися школы, а также насладиться картинами Горлиной Марии, ученицы 11 класса.
Начался методический день с презентации опыта работы школы по теме семинара директором Пинчуковой Л.А.
Затем прошли ряд мероприятий, подготовленных педагогами школы. Урок математики в 11 классе по теме «Решение показательных неравенств», провела учитель математики первой квалификационной категории Гетун Т.А., Состоялось заседание научного общества учащихся начальной школы по теме: «Профессии вчера, сегодня, завтра», подготовленное учителем начальных классов высшей квалификационной категории Меленевской Т. Е. и учителем начальных классов первой квалификационной категории Авдюхиной Т. П., учитель химии высшей квалификационной категории Евсюкова В. В. провела занятие «Лаборатория чудес» в рамках проекта «Наука детям», а педагог-психолог высшей квалификационной категории МБУ – КГЦ ППМиСП Дегтярёва С.В. провела семинар – практикум «Билет в будущее». Далее гости приняли участие в работе круглого стола «Практики профориентационной работы. Опыт. Проблемы. Решения», на котором, кроме администрации школ города и педагогов, присутствовали представители "Средней школы №2 г.Гомеля имени Г.М.Склезнева" Республика Беларусь, АО «Клинцовского автокранового завода», колледжей и ВУЗов г.Клинцы и Брянской области, руководитель ЦТО г.Клинцы Фиц Т.В., руководитель НОУ «Вектор» Цыганкова И.В., руководитель Клинцовского городского Центра ППМиСП Пенязь Е.Н., председатель комитета по вопросам промышленности, строительства, транспорта, сферы обслуживания и экономической реформе Клинцовского совета народных депутатов Дзюбин А.А..
На семинар были приглашены учащиеся 9-х классов школ города, для которых был проведён профориентационный квест. Каждая команда должна была посетить 12 станций и получить исчерпывающую информацию о профессиях, предлагаемых учебными заведениями нашего города и области, а также познакомиться с профессиями представителей малого бизнеса г. Клинцы. Параллельно состоялся квест «Наука +» (для учащихся начальной школы), подготовленный Охлупиной О. В., председателем научного общества молодых ученых и студентов БГИТУ. Состоялось заседание клуба «Свободное АРТ – пространство», посвященным 100-летию ВЛКСМ. Гости окунулись в историю и были тронуты игрой юных артистов.
Методический день завершился подведением итогов. Участники поделились своими впечатлениями, дали оценку увиденным мероприятиям и пожелали творческих успехов педагогическому коллективу школы.
| |
| 10.12.2018 |
День героев Отечества
День героев Отечества 2018 отметили в России 9 декабря. Это памятная дата РФ. Она приурочена к учреждению Ордена Святого Георгия – высшей военной награды Российской империи. В стороне не остались работники библиотеки и пригласили учащихся 7а класса на патриотический час « День Героев Отечества». В ходе мероприятия ребята узнали об истории памятной даты, о том, кого чествует наша страна в этот день; о наших земляках, которые были удостоены этой высокой награды посмертно. Присутствующие посмотрели видеоролик «Герои Отечества», посвященный всем защитникам нашей Родины. В конце программы участники почтили героев минутой молчания. Подобное мероприятие помогло еще раз напомнить молодому поколению о славном прошлом нашей страны, воспитать чувство гордости за героев, которые отдали свои жизни во имя Отечества.

| |
| 05.12.2018 |
25-летие Конституции РФ
В связи с 25-летием Конституции РФ в школе были проведены тематические классные часы. В школьной библиотека была организована тематическая выставка и проведены библиотечные уроки. Ребята приняли участие в школьных викторинах, игровых программах, уроках вопросов и ответов по теме «Учусь быть гражданином». Старшие и средние школьники путешествовали по страницам Конституции Российской Федерации, а также знакомились с символикой России и Брянской области. На классный час в 10-е классы был приглашен Дзюбин А.А.- председатель комитета по вопросам промышленности, строительства, транспорта, сфере обслуживания и экономической реформе Клинцовской городской администрации, который рассказал о работе своего комитета и органов исполнительной власти города Клинцы.
| |
| 03.12.2018 |
Всероссийская акция "Урок цифры"
3 декабря 2018 года учащиеся 5-11 классов приняли активное участие в Уроке цифры. С большим удовольствием проходили квесты в онлайн тренажере на сайте урокцифры.рф, получали сертификаты участников.

| |
| 30.11.2018 |
Родительское собрание об итоговом сочинении
30 ноября 2018 года в МБОУ - СОШ № 2 им. А. И. Герцена прошло родительское собрание в 11 классе по теме "Написание итогового сочинения". На собрании присутствовали учащиеся 11 класса и их родители, а также заместитель директора по УВР, учитель русского языка и литературы Бурак Светлана Ивановна. Завуч школы Бурак С. И. довела до сведения родителей информацию по подготовке и проведению итогового сочинения в 2018 году. Она напомнила учащимся и родителям, что итоговое сочинение является условием допуска к государственной итоговой аттестации по образовательным программам среднего общего образования.
| |
| 28.11.2018 |
27 ноября в школе прошло общешкольное родительское собрание по правовому просвещению родителей (законных представителей) несовершеннолетних.

| |
| 27.11.2018 |
27 ноября в школе прошло очередное заседание в клубе "Открытое АРТ-пространство".На мероприятии вспоминали героическую историю и биографию комсомола.
Ребята с большим интересом слушали рассказ о Дне рождения Ленинского комсомола – 29 октября 1918г., о том что в истории ВЛКСМ много славных свершений. Это и гражданская война, и трудовые достижения первых пятилеток, и подвиги в Великой Отечественной войне. Это целая эпоха в жизни страны, когда рождались большие комсомольские стройки, руками молодых возводились города. Это мероприятие подарило много положительных эмоций его участникам. А главное, помогло окунуться в атмосферу романтики, творчества и созидания, которая была присуща комсомольцам.
| |
| 26.11.2018 |
В Клинцах прошла акция «Скажи добрые слова маме!», которую организовали волонтёры клуба «Росток» второй средней школы, ГИБДД города Клинцы и детская библиотека.

| |
| 22.11.2018 |
21 ноября в рамках проекта «От сердца к сердцу» волонтеры клуба «Росток» посетили МБДОУ детский сад №14 "Рябинка" . Волонтерам удалось подружиться с «особенными ребятами». В совместной деятельности волонтеры и дошкольники раскрасили героев сказки «Теремок» и рассказали её, затем поиграли с детьми в игру «Отгадай сказку». В конце мероприятия волонтеры вручили заведующей детского сада Ирине Викторовне подарки сделанные своими руками: декоративные панно "Временам года".
| |
| 21.11.2018 |
Поздравляем команду школы по баскетболу, занявшую 3 место в Муниципальном этапе Чемпионата Школьной баскетбольной лиги «КЭС-БАСКЕТ» сезона 2018-2019 гг..

| |
| 21.11.2018 |
21 ноября в школе состоялась линейка инаугурации президента "Школьного Города". Абдулаева Асет, победившая на выборах президента, выступила на линейке дав клятву и поблагодарив помощников и избирателей. Асет представила свою команду: -премьер министр: Остапенко Кристина, ученица 9б класса; -лидер информационного центра: Махначёва Надежда, ученица 10б класса; -лидер культурно-массового центра: Сковородко Елизавета, ученица 10а класса; -лидер центра социальных инициатив:Попова Юлия , ученица 10б класса; -лидер патриотического центра: Егельская Юлия , ученица 10а класса.

| |
|
|
| 19.11.2018 |
Всемирный день памяти жертв ДТП
В третье воскресенье ноября, согласно резолюции Генеральной Ассамблеи ООН, отмечается Всемирный день памяти жертв дорожно-транспортных происшествий. Волонтеры клуба "Росток" приняли участие в городской акции, посвящённой памяти жертв дорожно-транспортных происшествий. Акция проходила при участии Кафедрального Собора во имя святых Первоверховных апостолов Петра и Павла, старшего инспектора по пропаганде БДД ОГИБДД МО МВД России «Клинцовский» Т.М.Користа и сотрудников детской библиотеки Кошелевой И.Н., Моисеенко Л.А. Ребята присутствовали во время служения панихиды по погибшим в дорожно- транспортных происшествиях, узнали об истории акции.В память о погибших в дорожно-транспортных происшествиях выпустили в небо белые воздушные шары, а также участвовали в раздаче памяток и листовок по безопасности дорожного движения.
| |
| 19.11.2018 |
"Брянщина без наркотиков"
Помощник прокурора города Андрей Лебедько принял участие в мероприятии, проведенном среди учащихся МБОУ СОШ №2 г. Клинцы в рамках V Брянского антинаркотического месячника «Брянщина - жизнь без наркотиков»

| |
|
|
| 06.11.2018 |
Семейный праздник «Олимпийские игры 2018»
В рамках сотрудничества МБОУ-СОШ2 им. А.И. Герцена (г.Клинцы) с региональной чернобыльской общественной организацией "Радимичи - детям Чернобыля" (г. Новозыбков) на базе школы был проведён Семейный праздник «Олимпийские игры 2018» для детей и родителей начальной школы. Организаторами выступили волонтеры и сотрудники РЧОО «Радимичи - детям Чернобыля» , волонтеры «Радимичи» г. Сураж, волонтеры МБОУ-СОШ2 им. А.И. Герцена клуба «Росток» во главе с руководителем -Голубовской Н.А. Вначале Семейного праздника ребята и родители прошли регистрацию, на которой каждый ребёнок получил медаль, на которых регистраторы записывали фамилию и имя ребёнка. Во время прохождения станций за верно выполненное задание организаторы ставили подписи и по количеству подписей определяли победители. После регистрации участники праздника оправлялись в спортивный зал, для встречи с «мастерами спорта» и объяснения правил «Олимпийских игр 2018». В спортивном зале, классных кабинетах и коридорах 1 этажа школы были размещены спортивные, игровые и творческие площадки. Участники проходили следующие станции: боевой раскрас, волейбол, баскетбол, футбол, теннис, бадминтон, прыжки в длину, приседание, отжимание, пресс, обруч, прыжки на скакалке, прыжки на фитболе, равновесие, сокс , дартс, попади в цель, зумба, тренировка слуха, ловкач, знатоки спорта, пазл, великие спортсмены, я спортсмен, мои достижения. Семейный праздник прошёл динамично, весело и интересно! Родители и дети смогли сфотографироваться с Котом Леопольдом и Пандой! Гостями праздника были участники проекта «Солнечные дети». Каждый участник получил сладкий приз, а победители к были отмечены медалями! Семейный праздник «Олимпийские игры 2018» состоялась в рамках проекта "Семейный автобус» с использованием гранта Президента Российской Федерации на развитие гражданского общества, предоставленного Фондом президентских грантов.
| |
| 31.10.2018 |
Старт проекта "Солнечные дети!"
30 октября волонтеры клуба «Росток», дали старт проекту «Солнечные дети»! Проект направлен на взаимодействие старших школьников и детей с синдромом Дауна. Знакомство прошло в дружеской атмосфере! Волонтеры рисовали на песке, играли в бассейне, ходили по сенсорным дорожкам, строили из конструктора, совместно смотрели советский мультфильм! В завершении мероприятия волонтеры вручили ребятам развивающие игрушки сделанные своими руками. Следующая встреча состоится на «Семейном празднике», в пятницу 2 ноября!
| |
| 31.10.2018 |
30 октября учащиеся 7б класса совершили увлекательное путешествие в музей-школу "Брянское подворье".

| |
| 24.10.2018 |
Школьный этап конкурса чтецев "Моя Родина"
24 октября прошёл школьный этап конкурса чтецов "Моя Родина". В конкурсе приняли участие учащиеся с 1 по 11 классы. Чувствовалось волнение выступающих и их наставников. Но это не помешало выразить все эмоции, переживания, чувства в прочитанных произведениях.Победители конкурса будут представлять нашу школу в муниципальном этапе конкурса 25 ноября.
| |
| 23.10.2018 |
Встреча старшеклассников с представителями органов правопорядка и медучреждений
23 октября в школе состоялась встреча старшеклассников с представителями органов правопорядка и медучреждений, на которой шел разговор о пагубном влиянии на организм наркотиков, алкоголя и курения. Перед учащимися выступили помощник прокурора Гузеев Алексей Иванович, врач-нарколог Киреенко Татьяна Степановна и педагог-библиотекарь Самотейкина Алла Михайловна.
| |
| 22.10.2018 |
Всероссийская акция "Неделя без турникетов"
В рамках Всероссийской акции "Неделя без турникетов" 7б класс вместе с классным руководителем Ольгой Владимировной Иваньковой посетил студию красоты "Relax". Парикмахеры, визажисты, мастера ногтевого сервиса и косметологи поделились с ребятами секретами своего мастерства, рассказали учащимся о своих профессиях, провели мастер-класс. Девочки побывали не только в роли посетительниц салона, но и на несколько минут оказались парикмахерами, приняв участие в мастер-классе по завивке локонов. Спасибо ИП Сердечной Ольге и ее сотрудницам за увлекательное путешествие в мир профессии.
| |
| 18.10.2018 |
Конкурс «Знатоки Правил дорожного движения!»
Безопасность – главный принцип, который обязательно должен соблюдаться при дорожном движении. При этом он обязателен не только для водителей автотранспортных средств, но и для пешеходов. Самый простой и уникальный способ обезопасить себя от неприятностей на темных улицах и дорогах – использовать световозвращающие элементы или фликеры. Это нужный и обязательный для пешехода элемент, особенно для детей. Водитель замечает ребенка со световозвращателем на одежде со значительно большего расстояния, чем без него. А значит, выше шансы, что трагедии не случится. Поэтому в рамках совместной областной акции «Засветись!» сотрудниками ОГИБДД МО МВД России «Клинцовский» и «Детской Общественно-правовой Палаты г.Клинцы РДШ» в сотрудничестве с Клинцовской ШТ ДОСААФ России был проведен городской конкурс «Знатоки Правил дорожного движения» среди обучающихся общеобразовательных учреждений города Клинцы, с целью закрепление учащимися знаний по ПДД и привлечение детей к проведению профилактической работы по предупреждению ДДТТ среди сверстников, а также развитию движения отрядов ЮИД и иных профильных объединений обучающихся.
Программа конкурса включала себя 5 станций: «Теоретический конкурс на знание ПДД» «Макет дорожного знака со световозращающими элементами», «12 дорожных знаков», «Велосипедист», «Юный автолюбитель». По итогам конкурса «Знатоки Правил дорожного движения» в рамках совместной областной акции «Засветись!» 1 место заняли команды МБОУ СОШ № 2, МБОУ СОШ № 4 им.В.И. Ленина и МБОУ Гимназия № 1 им. Ю.А. Гагарина. Призерами конкурса стали команды МБОУ СОШ № 3, МБОУ СОШ № 6, МБОУ СОШ № 8, МБОУ СОШ № 9 г. Клинцы.
| |
| 17.10.2018 |
Станционная игра "Атомы"

В рамках сотрудничества МБОУ-СОШ2 им. А.И. Герцена с региональной чернобыльской общественной организацией "Радимичи - детям Чернобыля" (г. Новозыбков) на базе школы было проведено очередное просветительское интерактивное мероприятие для детей 5-6 классов. Организаторами выступили волонтеры клуба «Росток» (МБОУ-СОШ2 им. А.И. Герцена) во главе с руководителем — Голубовской Натальей и сотрудники РЧОО « "Радимичи - детям Чернобыля" Екатерина Быкова и Дмитрий Сафонов. Станционная игра «Атомы» - так называлось просветительское мероприятие, посвященное чернобыльской тематике, а именно — безопасному проживанию на загрязнённой радионуклидами территории. Вначале мероприятия детям было предложено посмотреть фильм “Детям о радиации». Затем ребята разделились на команды и со своими кураторами (волонтёрами) прошли шесть станций – итерактивынх площадок. Так, на станции «Мемори» участники игры подбирали изображения разных видов энергии; на станции «Выбери поле» - выбирали правильное поле ответов; на станции «Атомы» - находили правильные ответы на вопросы в “ядре атома”; на станции «Выдумка» ребятам зачитывалась выдуманная история, в которой они на слух должны были определить ошибки и шумовыми музыкальными инструментами среагирвать; на станции «Человек» школьники обводили силуэт одного из одноклассников и затем на этот силуэт раскладывали картинки внутренних органов; на станции «Продукты питания» - сортировали продукты, среди которых были содержащие радионуклиды и те, которые, например, привезены с Азербайджана, т. е. на предмет радиоактивного загрязнения — чистые. Игра прошла весело, интересно и насыщенно! Каждый участник получил по 2 наклейки с логотипом РЧОО «Радимичи – детям Чернобыля», а победители были отмечены ценными подарками!!! Станционная игра «Атомы» состоялась в рамках проекта "Семейный автобус» с использованием гранта Президента Российской Федерации на развитие гражданского общества, предоставленного Фондом президентских грантов.
| |
| 14.10.2018 |
Заседание совета лидеров "Школьный город"
13 октября состоялось первое заседание президента и лидеров "Школьного города", на котором решались вопросы проведения конкурса "Мисс 2-ая школа", а также ряд организационных вопросов.
| |
| 12.10.2018 |
Тренинговые занятия волонтеров

11 октября в рамках реализации тренинговой программы «Школа добровольца» методисты Региональной Чернобыльской общественной организации "Радимичи -детям Чернобыля" города Новозыбкова провели с Волонтерами клуба «Росток» тренинговые занятия. Занятия в "Школе волонтеров" проходят в рамках проекта "Ресурсного центра "Радимичи"" поддержанного Фондом Президентских грантов. Работа проводилась в двух целевых группах в одной из которой волонтеры продолжили работу, а волонтеры-новички в дружеской обстановке знакомились друг с другом и разбирались в понятии «Волонтёр». Волонтеры обозначили дальнейшие перспективы сотрудничества.
| |
| 11.10.2018 |
Встреча клуба "Свободное АРТ-пространство"

10 октября в МБОУ-СОШ № 2 им.А.И. Герцена состоялась встреча в клубе «Свободное АРТ-пространство» по теме «Поэзия души».
В гости к членам клуба пришли клинчане, которые разбираются в поэзии, литературе, музыке, живописи, умеют размышлять и философствовать. Они пришли, чтобы поделиться своим духовным богатством.
Свои стихи прочитала Л.В. Суханова - поэтесса и журналист Клинцовского радио, которая стала одним из лауреатов Первой международной поэтической премии "Дельтаплан" Николая Зиновьева.
Познакомил ребят со своим творчеством Н.И Астапенко, автор слов Клинцовского гимна, который вместе с Людмилой Кузнецовой исполнил несколько песен на свои стихи.
Художник А. Ф. Сивограк, картины которого находятся в музеях и частных коллекциях Германии, ЮАР, Южной Кореи и других стран мира, показал ребятам свои картины, ответил на вопросы и подарил школе свою работу «Март в лесу».
По сложившейся традиции в зале работал свободный микрофон, проходила выставка творческих работ учащихся.
| |
|
|
| 08.10.2018 |
Навигатор дополнительного образования Брянской области
Уважаемые родители! С сентября 2018 года вы можете записать своих детей на программы дополнительного образования в учреждения г. Клинцы через сайт http://р32.навигатор.дети/

| |
| 01.10.2018 |
Выборы президента школы

1 октября 2018 года состоялись выборы президента "Школьного города" в МБОУ-СОШ № 2 им. А. И. Герцена.
Результаты голосования на выборах президента "Школьного города": Абдулаева Асет-139 голосов; Широкова Алина-67 голосов.
Поздравляем ученицу 9б класса Абдулаеву Асет с победой на выборах президента "Школьного города"!!!!! | |
| 25.09.2018 |
День памяти
Великая Отечественная война – это не только прошлое, её дыхание многие чувствуют и теперь. Ведь она изменила жизнь всей страны, вошла в каждый дом, в каждую семью. Она поглотила в своём пламени миллионы людей, принесла народу колоссальные разрушения, страдания и горечь, которые и поныне остро тревожат народную память. День 25 сентября навсегда вписан в историю города Клинцы как память о великом событии – освобождении от немецко-фашистских захватчиков. Это праздник нашей малой родины, которая особенно дорога, тем, кто живет и трудится на нашей земле. Светлая, вечная память павшим на поле боя, низкий поклон ныне живущим фронтовикам за их бессмертный подвиг! Будем достойны их памяти! Наш священный долг перед ними – хранить самое ценное – мир на нашей доброй, щедрой российской земле, приумножать ее богатства и ее славу.

| |
| 21.09.2018 |
Акция, посвященная Дню города

21 сентября волонтёры МБОУ-СОШ №2 им.А.И.Герцена провели акцию, посвящённую Дню города и Дню освобождения города Клинцы от немецко-фашистских захватчиков. Ребята вручали жителям поздравительные открытки, каждый прохожий мог оставить свои пожелания любимому городу на специальном стенде «С днём рождения, любимый город!». В рамках акции учащиеся и педагоги школы провели поэтический марафон «Тебе, мои Клинцы!». Дети и взрослые проникновенно исполнили стихи о Клинцах, которые оставили в душе клинчан светлые и радостные чувства.
Сегодня день рождения Наш город отмечает, Желаем мы всем жителям, Чтоб счастье повстречали, Пусть город наш ухоженный Растет и развивается, И новые в нем жители Пусть каждый день рождаются! | |
| 19.09.2018 |
Экскурсия "Клинцы старообрядческие"

19 сентября для учащихся школы № 2 им. А. И. Герцена была проведена экскурсия в старообрядческом Спасо-Преображенском храме г. Клинцы.
Настоятель храма Михаил Смирнов и библиотекарь детской библиотеки Лариса Моисеенко, руководитель школы «Азы православной культуры» рассказали школьникам об истории образования нашего города, старообрядцах, которые основали город Клинцы.
Участники экскурсии смогли увидеть временную экспозицию будущего музея Старообрядчества, который откроется в городе Клинцы.
Ранее 3 августа 2018 года Митрополит Корнилий и глава Клинцовской городской администрации А.И. Морозов сообщили клинчанам о совместном решении по созданию в городе Клинцы музея старообрядчества.
Школьники узнали много нового о меценатах-фабрикантах, клинцовской школе иконописи, о книгопечатной деятельности старообрядцев, смогли увидеть старинные книги и иконы.
| |
| 19.09.2018 |
"Брянщина помнит"

19 сентября в краеведческой библиотеке им. А.Ф. Землянского г. Клинцы была проведена литературно-музыкальная композиция «Брянщина помнит», посвященная 75-летию освобождения Брянщины от немецко-фашистских захватчиков. На мероприятие были приглашены старшеклассники СОШ№2.
Ведущая вечера библиотекарь Юлия Серченкова рассказала ребятам о партизанском движении на Брянщине в годы Великой Отечественной войны, о героях-земляках, напомнила о том, как важно хранить память о погибших воинах, отдавших свои жизни на благо Родины.
Прозвучали музыкальные композиции «Прости меня, дедушка», «Ровесницы наши», «О, Господи!», «Верните память» в исполнении солистов народной вокально-эстрадной студии «Светофор» МБУ «Дом культуры» г. Клинцы (руководитель А. Вахрушев).
Это мероприятие патриотической направленности имело своей целью ещё раз напомнить молодому поколению о славном прошлом нашей страны, воспитать чувство гордости за наших земляков, которые отдали свои жизни во имя Отечества!
| |
| 18.09.2018 |
Тренировочная эвакуация

18 сентября в 10 часов 30 минут в стенах 2-й школы им. А.И. Герцена города Клинцы прозвенели три тревожных звонка. По коридорам и лестницам по направлению к выходу во двор школы заспешили более 300 учащихся и работников школы. Педагоги школы, пересчитав учащихся, доложили руководству школы о количестве эвакуированных детей. Подведя итоги эвакуации, выяснили, что в стенах школы не осталось никого. Такие тренировочные эвакуации на случай пожара из зданий учебных учреждений нашего города в рамках «Дня безопасности» проводятся по нескольку раз в год. Но сегодня для ребят 2-й школы эвакуация стала необычной. Во дворе школы ребят ждала пожарная машина. Начала мероприятие инструктор по ОМР Клинцовского отделения ВДПО Роженок Н.С. рассказав о правилах и поведении во время эвакуации из здания на случай пожара. Инспектор отдела надзорной деятельности по городу Клинцы и Клинцовскому району Максименко А.В. продемонстрировал правила пользования порошковым огнетушителем и рассказал правила вызова пожарных - спасателей к месту пожара.
Юные пожарные школьной дружины «Спасатели» Ярослав и Анастасия продемонстрировали средства защиты органов дыхания медицинскую повязку и капюшон «Феникс». Прибывший пожарный расчет под руководством начальника караула ПСЧ - 10 г. Клинцы Захаренко Е.Н. продемонстрировали возможности пожарной техники и аварийно-спасательного оборудования. Глаза присутствующих ребят с любопытством смотрели на все происходящие действия, и было видно, что всем без исключения малышам и выпускникам школы это интересно. Беда приходит всегда неожиданно, но чтобы предотвратить беду важно всегда уметь действовать правильно в чрезвычайной ситуации. Мероприятие во 2-й школе было организованно по инициативе руководителя школы Пинчуковой Л.А. именно с этой с целью. Так пусть в будущем в каждой школе звучит веселый смех, звенят звонки, приглашая только на урок! | |
| 18.09.2018 |
Благотворительный концерт

18 сентября в ГДК г. Клинцы состоялся благотворительный концерт в поддержку Максима Зайцева. Учащиеся и педагоги нашей школы приняли участие с благотворительном сборе средств для продолжения лечения и реабилитации Максима .
| |
| 15.09.2018 |
Эко-квест "Чистые игры"

15 сентября волонтёры школы приняли участие в эко-квесте "Чистые игры" в рамках Всероссийской экологической акции "Генаральная уборка страны".В этот день по всему миру пройдут волонтерские акции под общим названием Всемирный День Чистоты. В один день миллионы людей вооружившись мешками и перчатками выйдут на борьбу за чистую окружающую среду! | |
| 11.09.2018 |

11 сентября 2018 года в городе Брянске состоялся очный отбор работ, представленных на региональный этап Всероссийского конкурса «Доброволец России – 2018». Волонтёрский отряд нашей школы успешно защитил свой проект "От сердца к сердцу".На конкурс было подано 134 заявки в 12 номинациях и разных возрастных категориях. В состав регионального жюри вошли руководители общественных организаций, благотворительных фондов, волонтерских объединений, Центра добровольческих инициатив и общественных проектов, представители органов исполнительной государственной власти Брянской области. Все проекты прошли успешную защиту, имена победителей будут определены до 1 октября 2018 года.
| |
|
|
|
|
| 07.06.2018 |

Все, что нужно знать о школе, узнаем у Министра просвещения 29 августа в одной из московских школ состоится встреча Министра просвещения Российской Федерации Ольги Юрьевны Васильевой с родителями школьников. Общение пройдет в формате живого диалога и видеоконференции с прямыми включениями из разных регионов страны. В этот раз на связь с центральной площадкой в Москве выйдут 8 российских городов из шести федеральных округов. Благодаря онлайн-трансляции за Общероссийским родительским собранием следить можно будет из любой точки страны и мира. Уже сейчас любой желающий может направить вопрос через форму на сайте edu.gov.ru/opc-view и аккаунты Министерства просвещения Российской Федерации в социальных сетях. Наиболее острые из них станут предметом обсуждения в ходе собрания.
Партнером в организации и проведении Общероссийского родительского собрания выступает общероссийская общественная организация «Национальная родительская ассоциация социальной поддержки семей и защиты семейных ценностей», одним из стратегических направлений работы которой является родительское просвещение.
Справочно Общероссийское родительское собрание – традиционная встреча в преддверии нового учебного года с целью получить обратную связь, услышать мнение родителей, узнать о наиболее волнующих их вопросах, оценить эффективность реализуемых проектов и программ. В 2017 году в адрес Министра поступило более 3000 вопросов, большинство из которых касались нововведений в школьную программу, изучения иностранных языков, сдачи экзаменов, качества учебников. На встрече с Министром обсуждались проблемы, связанные с инклюзивным образованием, работой медицинских кабинетов в школах, сборами денег с родителей, трудовым воспитанием, организацией детского отдыха, семейного образования. Наибольший интерес вызвало введение устной части единого государственного экзамена по русскому языку и перспективы появления обязательных экзаменов по иностранному языку и истории.
| | |